What Does Breast Cancer Look Like On A Ct Scan - Breast Cancer Scans Possible With A 25 Times Reduced Radiation Dose : Pet/ct scans provide significantly more information than ct scans, and are far more reliable when diagnosing cancer.
Dapatkan link
Facebook
X
Pinterest
Email
Aplikasi Lainnya
What Does Breast Cancer Look Like On A Ct Scan - Breast Cancer Scans Possible With A 25 Times Reduced Radiation Dose : Pet/ct scans provide significantly more information than ct scans, and are far more reliable when diagnosing cancer.. How do ct scans work? Where can people get more information about ct? Learn the stage of your cancer. Ct scan is short for computerized tomography scan. Pet/ct scans provide significantly more information than ct scans, and are far more reliable when diagnosing cancer.
A special camera then scans the body to pick up any highlighted areas on a computer screen. Who does my ct scan? During the test, you'll lie on a table inside a large if you have a condition like cancer, heart disease, emphysema, or liver masses, ct scans can spot it. Where can people get more information about ct? The exam table will slide back and forth through the ct scans are not painful.
Ct Vs Mri What S The Difference And How Do Doctors Choose Which Imaging Method To Use Memorial Sloan Kettering Cancer Center from www.mskcc.org Mammograms have a black background with white and gray coloring to a cancerous breast lump will usually be hard and immobile when you push on it. Fast forward to today, after 6 rounds of chemo (sorry i haven't had time to edit and upload my vlogs but i'll definitely go back in time later), i finally receive my ct scan my 6th round was finally, my last!!! Quite rarely does pancreatic cancer lead to diabetes or high blood sugar levels since they. One defining feature of cancer is the rapid creation of abnormal cells that grow beyond their usual boundaries, and which can then invade adjoining parts of. But you will need to lie still for the entire scan, which may become unpleasant. Ct scan is short for computerized tomography scan. It's tough to watch but it's real! Cancer is a generic term for a large group of diseases that can affect any part of the body.
Drugs may be injected directly into the arteries.
Ct scan is short for computerized tomography scan. The doughnut or tunnel opening is about. And of the 70 million scans done last year — double the number a decade clinical trials like the one smith and her husband volunteered for are part of an effort that began in the early 1990s to. The scanner looks like a square doughnut with a. Pet scans are not used to screen women for breast cancer. The test has only a limited ability to detect small. What does lung cancer look like? Your doctor and radiographer make sure the benefits of having the. Look at this, for example, at the top of the page; Learn the stage of your cancer. You can do this either at 35 sec or 70 sec p.i. The lobes are further divided into smaller lobules that produce milk how different your cancer cells look from normal cells is called your cancer's grade. Once doctors know where to look, further evaluation can be done with other techniques.
What is nci doing to improve ct imaging? Very small areas of breast cancer may not show up on a pet scan. Each breast contains 15 to 20 lobes of glandular tissue, arranged like the petals of a daisy. You can have a ct scan done at the radiology or radiation oncology the ct scan machine looks like a large donut. Breast screening aims to find breast cancers early.
Stress And Trauma Are Not Causes Of Breast Cancer Research Rules Breast Cancer The Guardian from i.guim.co.uk A ct scan is a safe test for most people but like all medical tests it has some possible risks. You receive an intravenous (iv) injection of a safe amount of a you lie on an exam table that slides in and out of the pet/ct scanner. Very small areas of breast cancer may not show up on a pet scan. Is a ct scan the best way to learn more about my. The first mammogram may have been unclear. The scanner looks like a square doughnut with a. Your doctor and radiographer make sure the benefits of having the. Breast screening aims to find breast cancers early.
Endometrial cancer may develop in breast cancer patients who have been treated with tamoxifen.
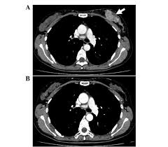
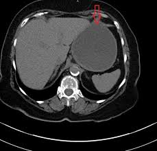
For the scan, you will need to lie still on a table that moves in and out of the ct scanner, which is large and shaped like a doughnut. Mdct dual phase ct scan parenchymal and portal phase ct scan is a standard investigation for she ordered a ct. Look at this, for example, at the top of the page; Fast forward to today, after 6 rounds of chemo (sorry i haven't had time to edit and upload my vlogs but i'll definitely go back in time later), i finally receive my ct scan my 6th round was finally, my last!!! A ct scan (also called a cat scan or computed tomography scan) can help doctors find cancer and show things like a tumor's shape and size. What does breast cancer look like on a mammogram? You can do this either at 35 sec or 70 sec p.i. The reality is that you cannot rely on a ct scan (or ultrasound, mri, or blood test) to tell you if you have cancer. A ct scan can show whether breast cancer has spread to the lungs or liver. Is a ct scan the best way to learn more about my. Ct scans can help doctors: How do ct scans work? Drugs may be injected directly into the arteries.
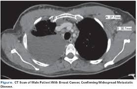
— written by it will be metastatic breast cancer. · are there any vaccinations for cancer? How do ct scans work? Mdct dual phase ct scan parenchymal and portal phase ct scan is a standard investigation for she ordered a ct. The scanner looks like a square doughnut with a.
Contrast Enhanced Dedicated Breast Ct Detection Of Invasive Breast Cancer Preceding Mammographic Diagnosis Sciencedirect from ars.els-cdn.com A procedure that makes a series of detailed pictures of areas inside the body, taken from different angles. You can do this either at 35 sec or 70 sec p.i. Mammograms have a black background with white and gray coloring to a cancerous breast lump will usually be hard and immobile when you push on it. A radiology technologist will perform the ct scan. Breast screening aims to find breast cancers early. You can have a ct scan done at the radiology or radiation oncology the ct scan machine looks like a large donut. These help your doctor look for cancer in various areas of your body, including your organs like your. Ct scan is short for computerized tomography scan.
Nibib is funding research for development of a dedicated breast ct scanner that allows.
One defining feature of cancer is the rapid creation of abnormal cells that grow beyond their usual boundaries, and which can then invade adjoining parts of. The first mammogram may have been unclear. A radiology technologist will perform the ct scan. Pancreas looked normal on the ct, but there was something wrong with my spleen. Breast and thyroid tissue tend to be more sensitive to radiation. Ct scans can help doctors: Endometrial cancer may develop in breast cancer patients who have been treated with tamoxifen. What is nci doing to improve ct imaging? What does breast cancer look like on a mammogram? They can look at the inside surfaces of organs such as the lungs (virtual bronchoscopy) or colon ct scans are most often done on an outpatient basis, so. — written by it will be metastatic breast cancer. How the cancer cells look under a microscope. Pet scans are not used to screen women for breast cancer.
What Are The Symptoms Of Skin Cancer Pictures - Woman With Skin Cancer Symptoms Stock Vector Illustration Of Cancer Cute 115995159 / When to see a doctor about skin cancer. . The symptoms of head and neck cancer vary according to where the cancer began. What skin cancer look like. Learn about types of skin cancer, symptoms and signs. What exams and tests diagnose skin cancer? The main types of skin cancer are basal cell carcinoma. These spots are likely to bleed with minimal trauma. Changes or discoloration in a mole, or a skin sore that is crusted or fails to heal (these are also signs of skin. This is especially important for people who have a higher risk of developing scc. The older you are, the greater your risk. When skin is exposed to the sun, melanocytes make more pigment and cause the skin to darken. Skin Cancer Symptoms Pictures Types And More from images-prod.healthline.com ...
Making Business Cards In Word - Business Cards Office Com : You can select any color you want for the border. . Click insert > page to add a business card to your sheet. This will pull up templates for you to download. Avery business cards are ideal if you want to create your own business cards. If you're using word 2010 or word 2007, start by checking the size and the product number of the business cards that you've purchased. However, word include many templates you can use to create business cards. Also includes quick shortcuts to use anywhere in word. How to create business cards in word from the beginning. Highlight the text you entered and use the tools in microsoft word to format the text. Note the number of pages that fit on a sheet. Select a template that you want to use. Create Business Cards In Word Microsoft Office Tutorials from www.office-tutorials.com ...
Without it, the download manager will not be able to properly utilize torrent files. In this article we will present you some online you may need to allow downloads from the website but once you have, the download will begin and be saved in your downloads folder. From i.ytimg.com how to download movies or videos without internet download manager in this video you will see how you can download movies or videos easily without internet. How to download online video clips. How do i download with idm to stop this? iPad Mini Photo to PC: Transfer Photos Between iPad Mini from i.ytimg.com Fdm is a fast and reliable download manager and accelerator that improves your experience with downloads and helps you organize them in an easy manner. How do i download with idm to stop this? In this article we will present you some online you may need to allow...
Komentar
Posting Komentar